




Corone in zirconia o disilicato
Soluzioni affidabili per restauri anteriori di alta qualità
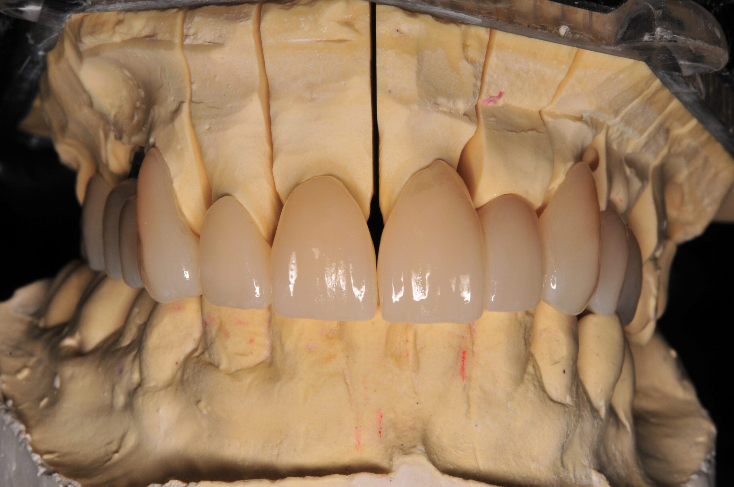
Realizziamo corone in zirconia e disilicato di litio, due materiali innovativi e altamente performanti, ideali per rispondere alle diverse esigenze cliniche dei pazienti. La zirconia garantisce una resistenza meccanica eccellente e un’ottima stabilità anche in zone posteriori, mentre il disilicato di litio si distingue per la sua traslucenza e naturalezza, perfetta per i settori anteriori e per chi richiede il massimo in termini di estetica.
Utilizziamo un workflow digitale avanzato, dalla scansione alla fresatura, per assicurare corone con un adattamento preciso, margini accurati e un risultato estetico che si integra perfettamente con la dentatura naturale.
corone in zirconia
Le corone in zirconia offrono un’eccellente combinazione di resistenza meccanica e biocompatibilità, ideali per restauri duraturi anche nelle zone posteriori sottoposte a carico masticatorio elevato. Grazie alla tecnologia CAD/CAM, garantiamo un adattamento preciso e un risultato estetico naturale.
corone in disilicato
Le corone in disilicato di litio si distinguono per la loro traslucenza e naturalezza, perfette per restauri nel settore anteriore dove l’estetica è fondamentale. Offriamo lavorazioni digitali di alta precisione per assicurare margini perfetti e un’ottima integrazione con i denti naturali.
Vantaggi per il tuo studio
estetica e precisione al tuo servizio
Zirconia: elevata resistenza meccanica, ideale per zone posteriori e pazienti con carico masticatorio intenso.
Disilicato di litio: traslucenza superiore e naturalezza, perfetto per restauri estetici nel settore anteriore.
Workflow digitale integrato: precisione e rapidità nella produzione.
Adattamento perfetto: margini accurati e passivazione ottimale.
Biocompatibilità: materiali sicuri e certificati per il paziente.
Supporto tecnico e consulenza: assistenza in tutte le fasi del processo.
