




protesi di toronto su impianti
Funzionalità, estetica e tecnologia
Realizziamo protesi di Toronto su impianti pensate per rispondere alle esigenze funzionali ed estetiche dei professionisti del settore odontoiatrico.
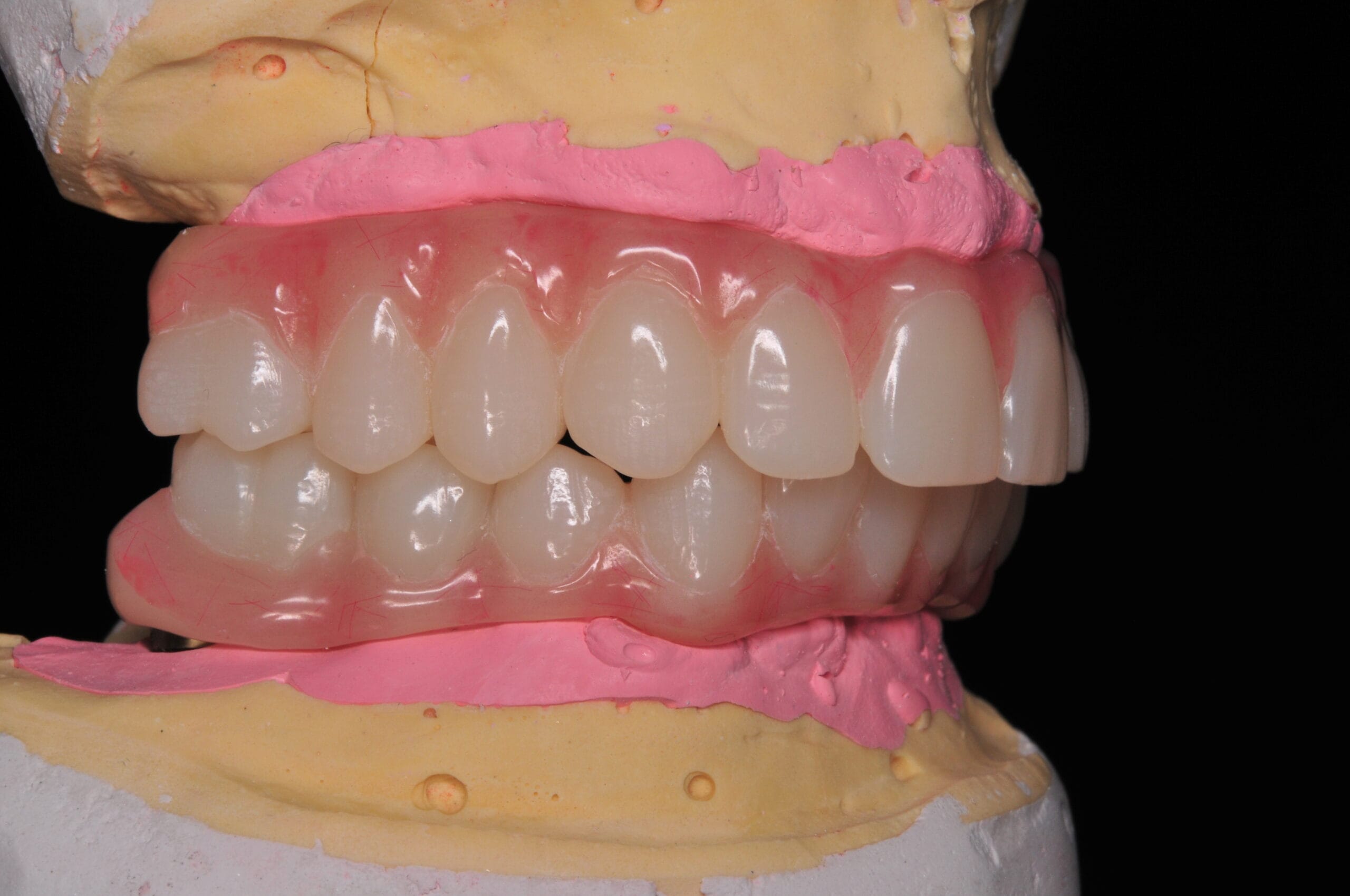
La protesi di Toronto è una soluzione fissa su impianti indicata per la riabilitazione completa dell’arcata superiore o inferiore. Può essere realizzata con diverse tecnologie e materiali — come barre in Laser Melting, Titanio con composito fresato, fibra Hi Fiber con montaggio dente del commercio — in base alle esigenze cliniche e alla tipologia di riabilitazione. Grazie alla sua progettazione digitale e alla possibilità del carico immediato, rappresenta una delle soluzioni più richieste per il trattamento di edentulie totali.
Protesi Toronto Provvisoria
Protesi temporanea per il ripristino immediato della funzione masticatoria ed estetica. La protesi è realizzata con materiali leggeri e resistenti, consente al paziente di tornare a sorridere fin da subito, in attesa della protesi definitiva.
Toronto con fibra Hi Fiber
Protesi fissa su impianti con rinforzo in fibra Hi Fiber, materiale innovativo che unisce resistenza, flessibilità e leggerezza. Garantisce un’ottima distribuzione dei carichi masticatori e un’elevata durabilità, ideale per la riabilitazione dell’arcata.
Toronto su Barre Laser Melting
Riabilitazione fissa su impianti per entrambe le arcate, con barre ad alta precisione in Laser Melting e denti in composito fresato. Una soluzione di alto livello estetico e funzionale, pensata per offrire stabilità, comfort e lunga durata.
Vantaggi per il tuo studio
Tecnologie digitali e materiali performanti
Efficienza clinica migliorata: tempi ridotti grazie alla progettazione CAD/CAM e possibilità di carico immediato.
Soluzione modulabile: materiali e tecniche adattabili a ogni tipo di caso clinico.
Alta precisione: garantita dalle tecnologie di produzione digitale come il Laser Melting.
Affidabilità a lungo termine: componenti stabili e resistenti all’usura, con un’estetica duratura.
Maggiore soddisfazione del paziente, che riceve una protesi stabile, estetica e confortevole già dalle prime fasi.
